Water Density Renal Cyst . As you get older, cysts can form on the. Renal cysts are sacs of fluid that form in the kidneys. Kidney cysts can occur with disorders that may impair kidney function. Simple cysts and polycystic kidney disease. One or more simple cysts may form within the. Kidney cysts are round pouches of fluid that form on or in the kidneys. A simple kidney cyst is a pocket of fluid that originates from the surface of the kidney and is contained by a thin wall. Kidney cysts (renal cysts) are usually small, round sacs that have a thin wall and contain a watery fluid. Simple cysts are individual cysts that form on. There are two types of kidney cysts: But more often, kidney cysts are a type. You might develop one cyst or.
from www.ctisus.com
Renal cysts are sacs of fluid that form in the kidneys. But more often, kidney cysts are a type. As you get older, cysts can form on the. Simple cysts are individual cysts that form on. Kidney cysts can occur with disorders that may impair kidney function. Kidney cysts (renal cysts) are usually small, round sacs that have a thin wall and contain a watery fluid. One or more simple cysts may form within the. Simple cysts and polycystic kidney disease. Kidney cysts are round pouches of fluid that form on or in the kidneys. A simple kidney cyst is a pocket of fluid that originates from the surface of the kidney and is contained by a thin wall.
High Density Renal Cyst Left Kidney Kidney Case Studies CTisus CT
Water Density Renal Cyst Simple cysts are individual cysts that form on. Simple cysts are individual cysts that form on. Kidney cysts are round pouches of fluid that form on or in the kidneys. Kidney cysts can occur with disorders that may impair kidney function. As you get older, cysts can form on the. Kidney cysts (renal cysts) are usually small, round sacs that have a thin wall and contain a watery fluid. One or more simple cysts may form within the. Simple cysts and polycystic kidney disease. But more often, kidney cysts are a type. You might develop one cyst or. A simple kidney cyst is a pocket of fluid that originates from the surface of the kidney and is contained by a thin wall. Renal cysts are sacs of fluid that form in the kidneys. There are two types of kidney cysts:
From www.researchgate.net
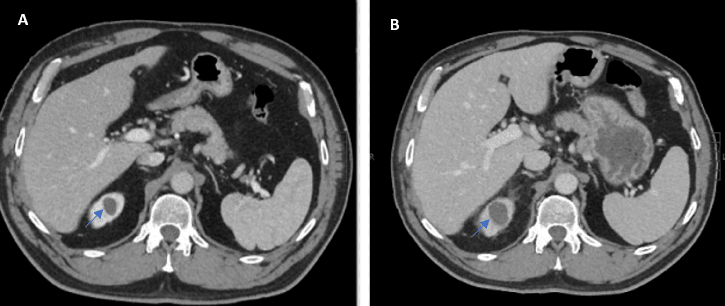
Benign hyperdense renal cyst. Axial CTscan before (a) and after Water Density Renal Cyst Renal cysts are sacs of fluid that form in the kidneys. But more often, kidney cysts are a type. There are two types of kidney cysts: Kidney cysts can occur with disorders that may impair kidney function. As you get older, cysts can form on the. One or more simple cysts may form within the. Kidney cysts are round pouches. Water Density Renal Cyst.
From manju-imagingxpert.blogspot.com
Radiodiagnosis Imaging is AmazingInteresting cases Renal cyst CT Water Density Renal Cyst Simple cysts are individual cysts that form on. As you get older, cysts can form on the. Renal cysts are sacs of fluid that form in the kidneys. Simple cysts and polycystic kidney disease. You might develop one cyst or. Kidney cysts can occur with disorders that may impair kidney function. One or more simple cysts may form within the.. Water Density Renal Cyst.
From ar.inspiredpencil.com
Classification Of Renal Cysts Water Density Renal Cyst Kidney cysts are round pouches of fluid that form on or in the kidneys. There are two types of kidney cysts: A simple kidney cyst is a pocket of fluid that originates from the surface of the kidney and is contained by a thin wall. As you get older, cysts can form on the. You might develop one cyst or.. Water Density Renal Cyst.
From www.ctisus.com
High Density Left Renal Cyst Simulates a Tumor Kidney Case Studies Water Density Renal Cyst Simple cysts are individual cysts that form on. There are two types of kidney cysts: But more often, kidney cysts are a type. Kidney cysts (renal cysts) are usually small, round sacs that have a thin wall and contain a watery fluid. A simple kidney cyst is a pocket of fluid that originates from the surface of the kidney and. Water Density Renal Cyst.
From kidney.thecommonvein.net
IF CT Density Measurements Water Kidney Water Density Renal Cyst You might develop one cyst or. Simple cysts are individual cysts that form on. Kidney cysts can occur with disorders that may impair kidney function. There are two types of kidney cysts: One or more simple cysts may form within the. As you get older, cysts can form on the. A simple kidney cyst is a pocket of fluid that. Water Density Renal Cyst.
From www.pinterest.com
Simple Renal Cyst Cysts, Renal, Photo and video Water Density Renal Cyst Kidney cysts can occur with disorders that may impair kidney function. There are two types of kidney cysts: Kidney cysts (renal cysts) are usually small, round sacs that have a thin wall and contain a watery fluid. Simple cysts are individual cysts that form on. Kidney cysts are round pouches of fluid that form on or in the kidneys. But. Water Density Renal Cyst.
From www.ctisus.com
Multiple High Density Renal Cysts and Suspect Cystic Renal Cell Water Density Renal Cyst Renal cysts are sacs of fluid that form in the kidneys. Simple cysts are individual cysts that form on. A simple kidney cyst is a pocket of fluid that originates from the surface of the kidney and is contained by a thin wall. Simple cysts and polycystic kidney disease. Kidney cysts are round pouches of fluid that form on or. Water Density Renal Cyst.
From www.ctisus.com
High Density Renal Cyst with Multiple Phases and Displays Kidney Case Water Density Renal Cyst You might develop one cyst or. There are two types of kidney cysts: Kidney cysts (renal cysts) are usually small, round sacs that have a thin wall and contain a watery fluid. Renal cysts are sacs of fluid that form in the kidneys. But more often, kidney cysts are a type. Kidney cysts are round pouches of fluid that form. Water Density Renal Cyst.
From www.ctisus.com
High Density Left Renal Cyst Kidney Case Studies CTisus CT Scanning Water Density Renal Cyst One or more simple cysts may form within the. Kidney cysts (renal cysts) are usually small, round sacs that have a thin wall and contain a watery fluid. There are two types of kidney cysts: Simple cysts are individual cysts that form on. As you get older, cysts can form on the. Simple cysts and polycystic kidney disease. Renal cysts. Water Density Renal Cyst.
From www.ctisus.com
High Density Renal Cysts Right kidney Kidney Case Studies CTisus CT Water Density Renal Cyst Simple cysts are individual cysts that form on. You might develop one cyst or. As you get older, cysts can form on the. Simple cysts and polycystic kidney disease. But more often, kidney cysts are a type. There are two types of kidney cysts: Kidney cysts can occur with disorders that may impair kidney function. A simple kidney cyst is. Water Density Renal Cyst.
From www.cureus.com
Cureus A Unique Presentation of an Infected Renal Cyst A Case Report Water Density Renal Cyst You might develop one cyst or. A simple kidney cyst is a pocket of fluid that originates from the surface of the kidney and is contained by a thin wall. Simple cysts and polycystic kidney disease. Renal cysts are sacs of fluid that form in the kidneys. As you get older, cysts can form on the. Kidney cysts can occur. Water Density Renal Cyst.
From www.researchgate.net
A, B A large, welldefined, exophytic, heterogeneous, multiloculated Water Density Renal Cyst Kidney cysts can occur with disorders that may impair kidney function. Renal cysts are sacs of fluid that form in the kidneys. Kidney cysts are round pouches of fluid that form on or in the kidneys. You might develop one cyst or. Simple cysts are individual cysts that form on. A simple kidney cyst is a pocket of fluid that. Water Density Renal Cyst.
From www.healthykidneyclub.com
What Are The Symptoms Of Cysts On The Kidneys Water Density Renal Cyst Renal cysts are sacs of fluid that form in the kidneys. One or more simple cysts may form within the. As you get older, cysts can form on the. Kidney cysts (renal cysts) are usually small, round sacs that have a thin wall and contain a watery fluid. Simple cysts are individual cysts that form on. But more often, kidney. Water Density Renal Cyst.
From healthjade.net
Kidney Cyst Causes, Diagnosis, Symptoms, Complications & Treatment Water Density Renal Cyst Kidney cysts are round pouches of fluid that form on or in the kidneys. Kidney cysts (renal cysts) are usually small, round sacs that have a thin wall and contain a watery fluid. Kidney cysts can occur with disorders that may impair kidney function. There are two types of kidney cysts: But more often, kidney cysts are a type. One. Water Density Renal Cyst.
From www.researchgate.net
Benign hyperdense renal cyst. Axial CTscan before (a) and after Water Density Renal Cyst Renal cysts are sacs of fluid that form in the kidneys. Kidney cysts are round pouches of fluid that form on or in the kidneys. Simple cysts are individual cysts that form on. Kidney cysts can occur with disorders that may impair kidney function. Kidney cysts (renal cysts) are usually small, round sacs that have a thin wall and contain. Water Density Renal Cyst.
From mungfali.com
Kidney Lesions And Cysts Water Density Renal Cyst But more often, kidney cysts are a type. Kidney cysts (renal cysts) are usually small, round sacs that have a thin wall and contain a watery fluid. Kidney cysts are round pouches of fluid that form on or in the kidneys. You might develop one cyst or. Renal cysts are sacs of fluid that form in the kidneys. There are. Water Density Renal Cyst.
From www.ctisus.com
High Density Renal Cyst Kidney Case Studies CTisus CT Scanning Water Density Renal Cyst Simple cysts are individual cysts that form on. Simple cysts and polycystic kidney disease. As you get older, cysts can form on the. There are two types of kidney cysts: Kidney cysts can occur with disorders that may impair kidney function. You might develop one cyst or. Kidney cysts (renal cysts) are usually small, round sacs that have a thin. Water Density Renal Cyst.
From www.ctisus.com
High Density Cyst Upper Pole Left Kidney Kidney Case Studies CTisus Water Density Renal Cyst Renal cysts are sacs of fluid that form in the kidneys. Simple cysts are individual cysts that form on. But more often, kidney cysts are a type. One or more simple cysts may form within the. You might develop one cyst or. Kidney cysts can occur with disorders that may impair kidney function. A simple kidney cyst is a pocket. Water Density Renal Cyst.